Expert Dentistry, Your Healthiest Smile Starts Here
Our Services
Teeth
Whitening
Brighten your smile with our safe and trusted Philips Zoom! teeth whitening for a downright dazzling result. We offer both in-practice laser whitening and custom home teeth whitening supervised by our experienced dentists. Feel free to book a FREE consultation to discuss your whitening goals. Our transparent prices mean a radiant smile without surprises.
Complete Preventive Care
Our focus on prevention helps protect your smile before problems arise. Through thorough check-ups, hygiene visits, and advanced early-detection technology, we help prevent decay and gum disease for lasting oral health. Subtle, proactive care that keeps your teeth strong, healthy, and naturally beautiful for years to come.
Denta Implants
Invisalign Teeth Straightening
Transform your smile discreetly with custom Invisalign clear aligners at Broadway Dental Studio in Mill Hill, Barnet. Consult our dentists or specialist orthodontist for a personalized, digitized plan featuring competitive UK pricing, simple maintenance, and exceptional results as a leading London Invisalign provider. Book your consultation today to start your journey to a confident smile.
Dental
Emergencies
Dental Emergencies and trauma can occur unexpectedly. We can see you even if you aren’t registered with us and often on the same day! Our dentists have a combined experience of over 65 years and have helped 1000s of patients with toothache and other dental emergencies in London.
Facial
Aesthetics
Revitalize your appearance with non-surgical facial aesthetics at Broadway Dental Studio in Mill Hill, Barnet. Our preventive anti-aging treatments, like wrinkle-relaxing injections and dermal fillers, smoothen fine lines and restore youthful volume to maintain natural beauty. We also offer masseter and temporalis muscles injections for TMJD symptoms.
Specialist Periodontist & Orthodontist in Mill Hill
At Broadway Dental Studio in Mill Hill, Barnet, our Specialist Periodontist, Dr. Anjali Mehta, provides expert gum care to help prevent tooth loss. With a compassionate approach, she treats bleeding gums, loose teeth, and drifting teeth through advanced periodontal deep cleaning and tailored gum treatments for optimal oral health. She also provides surgery to help gum recession with grafts and cosmetic gum improvements.
Our Specialist Orthodontist, Dr. Avani Patel, enhances smiles for both children and adults using Invisalign, lingual braces (Incognito), and fixed or removable braces (metal or ceramic). Her personalized treatments improve dental function and aesthetics, ensuring confident, healthy smiles with long term retention.
Broadway Dental Studio: A Journey from 1925
Broadway Dental Studio was established in 1925, in Mill Way. In 1960 Broadway Dental Studio moved to Broadway
Expert in Dental Phobia
Overcome from Dental Phobia with Sedation Dentistry in Mill Hill – Including Root Canal Treatment in Mill,Hill, London
Overcome dental anxiety at Broadway Dental Studio in Mill Hill, London, with our compassionate, patient-centered care.Our team spends time to get to know you and plan treatments at your pace. We offer numbing cream before injections and reassure throughout procedures including root canal treatments and dental extractions. As a trusted NHS and private dentist, we tailor care to your comfort and can also offer sedation dentistry for stress-free visits. Dr Nimisha Patel is also Dental Phobia Certified. https://www.dentalphobia.co.
Why Broadway Dental Studio is Best Dental Clinic in Mill Hill?
TO PLACE OUR PATIENT’S CARE FIRST
We aim to deliver an experience unique to you. We will consider all your concerns and tailor a dental plan that would suit you specifically. We will ensure that you understand the nature of your treatment, your available choices and associated costs.Our patient’s best interest is always paramount and we shall refer for a specialist opinion where indicated. As a trusted family NHS and Private dental practice in Barnet, we emphasize on preventive care to avoid complex issues in the future. We have been looking after generations of Mill Hill families and welcome new patients so get in touch to book your check up.
Keeping Up to Date with the Latest Advancements in Dentistry
At Broadway Dental Studio Mill Hill, our team is committed to continuous learning and professional development. We regularly attend training and courses to ensure that we provide the highest standard of clinical care and patient experience. We also have an Invisalign iTero scanner to 3D scan your mouth rather than taking impressions. By staying current in the latest techniques in cosmetic and restorative dentistry – including composite bonding and veneers- we can deliver outstanding, natural-looking results. Our focus is on combining modern treatments with compassionate care, so every patient receives the best possible outcome.
FOR OUR STAFF
Through a positive cycle of feedback and reviews, we review our dental team so that we can provide the best possible service for our patients. We appreciate patient feedback to help improve our service where needed and rejoice in positive feedback as well! This fosters an environment of excellence reflected in our patient reviews. Our multidisciplinary team regularly seek advice from each other and consult with specialists to ensure we deliver the best outcomes with clear and honest communication. We also take regular referrals from external dentists for seeing our Specialist Orthodontist, Periodontist and Implant dentist.
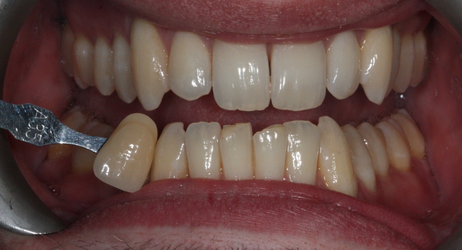
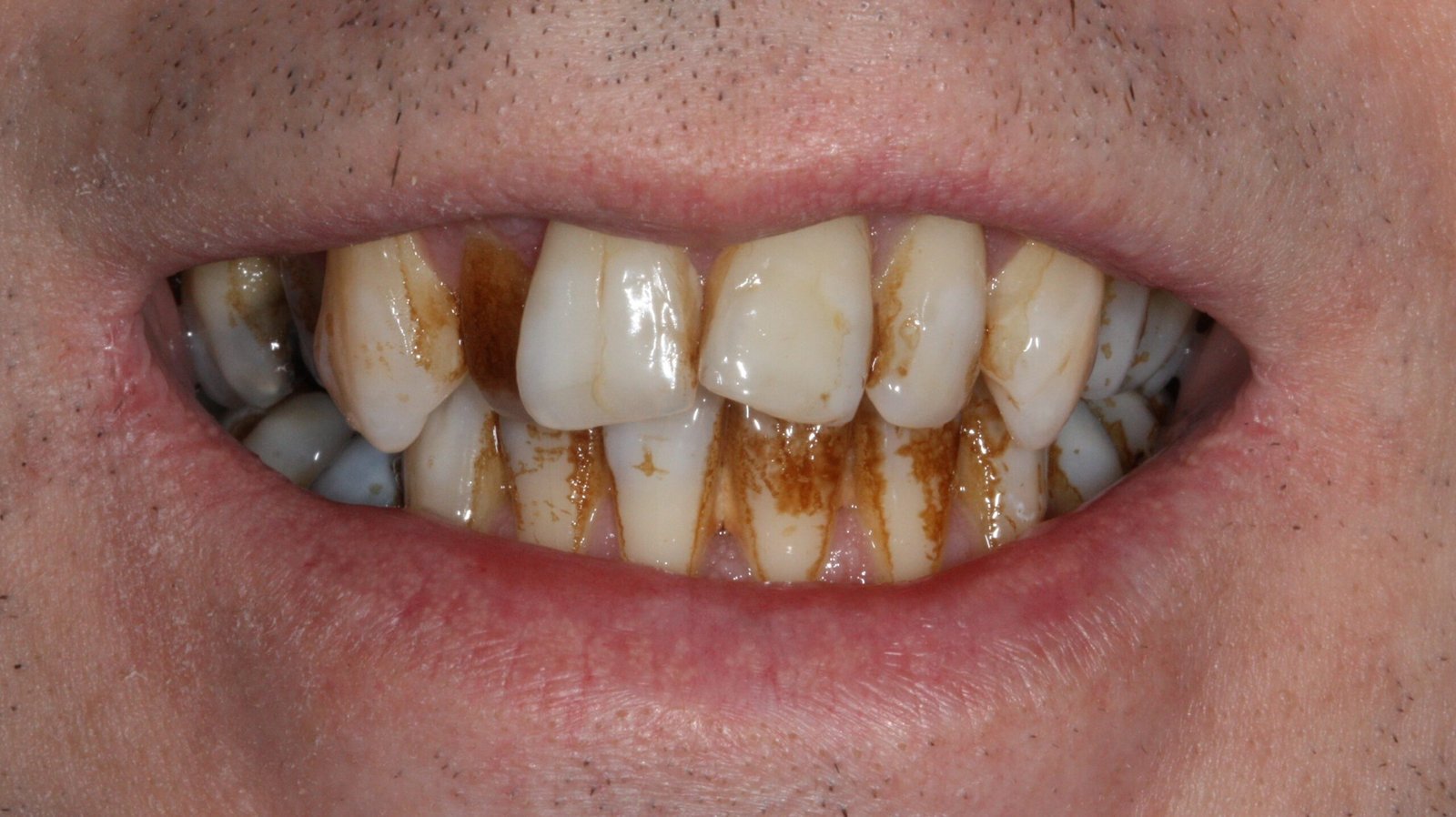
Real people. Real results.
See the difference in our Smile Makeover transformations. We regularly carry out Invisalign, Teeth whitening and Composite bonding treatments. More images are in the Treatments sections.



What Our Patients Are Saying
Trustindex verifies that the original source of the review is Google. Excellent orthodontic and dental care. The staff are always friendly and the process is consistently smooth. A special thank you to Nimisha Patel, who has been providing my care and is always outstanding.Posted on YusifTrustindex verifies that the original source of the review is Google. I have been a patient at this practice for years, for both orthodontist and dental care, and I wouldn't hesitate to recommend this practice. All the staff are exceptionally professional, friendly, and helpful.Posted on Lay DejailyTrustindex verifies that the original source of the review is Google. Had a check up and hygiene appointment, very thorough and efficientPosted on Russ DoffmanTrustindex verifies that the original source of the review is Google. Lovely and kind with childrenPosted on Caroline KossoffTrustindex verifies that the original source of the review is Google. My family and I have been going here for years. Professional, friendly, excellent service. Thoroughly recommend.Posted on Mark WayneTrustindex verifies that the original source of the review is Google. Really friendly, always talk through what’s going on and great servicePosted on sophie robinsonTrustindex verifies that the original source of the review is Google. Excellent service and treatment. Seen on time. Lovely friendly teamPosted on Abigail SimbergTrustindex verifies that the original source of the review is Google. Excellent service. Very thorough treatments and great customer servicePosted on Paul DrakesTrustindex verifies that the original source of the review is Google. Very good dentist. I was satisfied with my teeth and my dentist and hygienist are both lovely.Posted on Lottie LewisTrustindex verifies that the original source of the review is Google. Amazing dentist. Very friendly and professional. Would recommend.Posted on Louise LewisVerified by TrustindexTrustindex verified badge is the Universal Symbol of Trust. Only the greatest companies can get the verified badge who has a review score above 4.5, based on customer reviews over the past 12 months. Read more
Customer Reviews
Going to the dentist is not normally a pleasant experience! I have to say, however, that my appointment earlier today with Dr. Priyal Shah was relaxing and painless. Dr Shah and her team were friendly and efficient. I am very happy with the results, and am pretty sure you would be too.
MEET OUR DENTISTS
Contact Us
Book An Appointment
Contact us for Hygienist Visits UK or a routine Dentist Checkup in Mill Hill, including Teeth Whitening in Mill Hill or Composite Bonding in Mill Hill.
- We will always contact you within 24 hrs.
Phone
020 8 959 2497
Address
Flat 1, Broadway House, 36–38 The Broadway, Mill Hill, NW7 3LJ, London
Send E-mail
contact@broadwaydentalstudio.co.uk
Hours
Mon & Thurs 8:30am - 8:00pm
Tues/Wed/Fri 8:30am - 5:30pm
Saturday By appointment 9:00am - 2:00pm
- *By submitting your information, you consent to the terms of this Privacy Policy.